WisconsinSmiles
Call Us Today!

Dental Crowns and Veneers

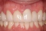
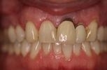
This patient was unhappy with the discoloration and stains in their smile. Using all porcelain dental crowns and esthetic veneers, we provided them with a new, brighter smile they could be proud of.

Improve your smile today – call to schedule a consultation!
If you have difficulty using our website, please email us or call us at (414) 383-5833
Privacy Policy