Skip to main content
WisconsinSmiles
Like us on Facebook to stay up-to-date with practice specials
Call Us Today!
WisconsinSmiles
Like us on Facebook to stay up-to-date with practice specials
Call Us Today!
Book Online
Like us on Facebook
Visit us on Yelp
Watch our Youtube Videos
Connect with us on LinkedIn
Leave a Google Review
Pin us on Pinterest
Instagram
(414) 383-5833
1469 S. 70th St, West Allis, WI 53214
Home
About
Our Team
Office Tour
Services
View All
TMJ Treatment
Dental Emergencies
BOTOX Cosmetic
Sports Dentistry
Laser Dentistry
Oral Cancer Screenings
Halitosis
Periodontal Treatment
Sleep Apnea
Cosmetic Dentistry
Sedation Dentistry
Dental Implants
Invisalign
Tooth-Colored Fillings
CEREC Same-Day Crowns
Veneers
Teeth Whitening
Smile Makeovers
Gallery
Patient Info
View Patient Info
Reviews
Exclusive Comfort Menu
Forms
Financial
Specials
FAQs
Blog
Dental Membership Plans
Contact
WisconsinSmiles
>
Gallery
>
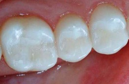
Mercury-Free Tooth-Colored Fillings
Mercury-Free Tooth-Colored Fillings
Return to Smile Gallery
Previous
Next
Using Mercury-free fillings that blended seamlessly with the color of this patient's teeth, we provided a safer, more aesthetically-pleasing look that still preserved the overall integrity of their smile.
Before
After
Ready to book an appointment?
Schedule Now
OK!
×
×
Contact Us Today
Give Us A Call
WisconsinSmiles -
(414) 383-5833
Send Us an Email
Request an Appointment
Contact Us
Ready to Schedule an Appointment?
Book Online
Have Questions? Contact Us:
Required Field
Your Name:
Phone:
Email:
Are you a new patient?:
Are you a?
New Patient
Current Patient
How would you like us to contact you?
Please choose
Email
Call
How did you hear about us?
Please choose
I'm an existing patient
Google/Bing
Mailer
Word of mouth
Social media
Other
Who Referred You?:
Appointment Preferences
Monday
Tuesday
Wednesday
Thursday
Friday
Your Message
:
This site is protected by reCAPTCHA and the Google
Privacy Policy
and
Terms of Service
apply.
Sending...
×
This Patient's Experience
Loading Testimonial...
Loading Case...