WisconsinSmiles
Call Us Today!

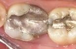
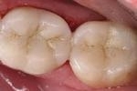
All Porcelain Posterior Crown and Filling

Concerned that their old-fashioned crown and filling were drawing unwanted attention to their smile, this patient requested new, all-porcelain cosmetic work.

Related Services:

CEREC Same-Day Crowns
A Great Place To Go

Everyone is very kind carting and professional. A great place to visit for dental work
Debbie U. - 03/04/14

Ready to book an appointment?
If you have difficulty using our website, please email us or call us at (414) 383-5833
View the ADA Accessibility Statement